
-
子宫切除是开腹还是微创
子宫切除:女性健康的关键抉择在秋风渐起、落叶纷飞的秋季,女性的健康也面临着各种挑战。对于一些患有严重子宫疾病的女性来说,子宫切除手术可

-
子宫异常出血的较佳治疗方法
秋风渐起,昼夜温差加大,不少女性发现自己的月经周期变得紊乱 —— 经期延长、经量突然增多,或是非经期出现莫名出血。这些看似常见的症状,实

-
腺肌症怎么锻炼缩小子宫
秋季气候凉爽,是适合腺肌症患者开展锻炼的好时节。对于腺肌症患者来说,“腺肌症怎么锻炼缩小子宫” 是大家关注的核心 —— 合理锻炼不仅能辅助

-
做宫腔镜手术多少钱
秋季天气转凉,妇科疾病进入高发期,不少女性因子宫肌瘤、子宫内膜息肉、宫腔粘连等问题,需要通过宫腔镜手术治疗,而 “做宫腔镜手术多少钱”

-
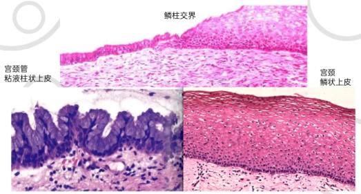
宫颈专业别鳞状上皮内病变
秋季是妇科疾病筛查的黄金时节,气温适宜且人体免疫力易受昼夜温差影响,不少女性在体检中被查出 “宫颈专业别鳞状上皮内病变”。这个拗口的医学

-
子宫内膜异位需要手术吗
秋季天气转凉,昼夜温差增大,不少女性会出现痛经加重、腰骶部酸痛等不适症状,到医院检查后被确诊为子宫内膜异位症。此时,很多患者都会陷入困

-
做宫腔镜需要人陪同吗
夏季气温居高不下,不少女性因月经异常、腹痛、不孕等问题需要做宫腔镜检查,除了关心检查流程和费用,“做宫腔镜需要人陪同吗” 也是大家频繁咨

-
做宫腔镜检查多少钱
夏季天气炎热,女性易受细菌侵袭,子宫内膜炎、子宫肌瘤、宫腔粘连等妇科疾病发病率有所上升。不少出现月经异常、腹痛、不孕等症状的女性,医生

-
宫腔镜需要住院吗
夏季来临,不少有妇科健康困扰的女性,在医生建议做宫腔镜检查或治疗时,都会纠结一个问题:“宫腔镜需要住院吗”?毕竟夏天要兼顾工作、家庭,

-
请问什么是子宫腺肌症
夏季气温攀升,不少女性被痛经、小腹坠胀等问题反复困扰,甚至影响正常工作与出行。其中,子宫腺肌症就是导致这些不适的常见原因之一。很多女性


