-
宫腔镜检查疼吗
当谈及女性健康,宫腔镜检查疼吗是众多女性心中的疑问。接下来,我们将深入探究这一关键话题。首先,了解一下宫腔镜检查疼吗的基本情况。它在女
-
腺肌症需要切除子宫吗
现代社会中,女性面临着诸多健康挑战,腺肌症需要切除子宫吗是众多女性心中的疑问。接下来,我们将深入探究这一关键话题。首先,了解一下腺肌症
-
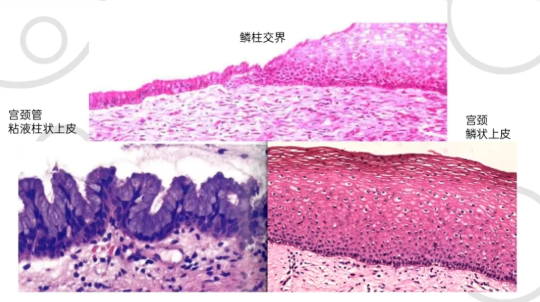
宫颈病变可怕吗
随着人们对生活品质要求的提高,女性的健康问题成为焦点。宫颈病变可怕吗是众多女性心中的疑问。接下来,我们将深入探究这一关键话题。首先,了
-
子宫腺肌病是什么意思严重吗
健康是女性幸福生活的基石,而子宫腺肌病是什么意思啊严重吗是众多女性心中的疑问。接下来,我们将深入探究这一关键话题。首先,了解一下子宫腺
-
宫腔镜手术多少钱
随着人们对生活品质要求的提高,女性的健康问题成为焦点。宫腔镜手术多少钱是众多女性心中的疑问。接下来,我们将深入探究这一关键话题。首先,
-
啥叫子宫腺肌症
女性以其独特的生理结构,在健康方面有着特殊需求,啥叫子宫腺肌症是众多女性心中的疑问。接下来,我们将深入探究这一关键话题。首先,了解一下

-
宫颈低级别鳞状上皮内病变
当秋天的杯奶茶成为社交平台的热门话题时,我们享受着秋日温暖的同时,也别忘了,秋天也是身体发出健康警报的季节。入秋之后,早晚温差逐渐增大

-
什么是宫腔镜检查
很多女性在出现月经异常、不孕等问题时,医生会建议做宫腔镜检查,但不少人对 “什么是宫腔镜检查” 充满疑惑,担心检查过程痛苦、效果不佳。其

-
做宫腔镜和刮宫一样吗
秋日气温逐渐降低,女性身体抵抗力容易下降,加上情绪波动、作息不规律等因素,子宫内膜息肉、异常出血、月经不调等妇科问题也进入高发期。在就

-
子宫内膜多厚就要做手术
秋风送爽,却也悄悄改变着女性的身体状态。秋季气温骤降、昼夜温差大,加上不少女性因季节更替出现情绪波动、作息紊乱,容易导致内分泌失衡,进


