疾病知识

不同类型湿疹有哪些表现湿疹该如何预防呢

时间:2020-10-28 17:45:56

一说到湿疹可能大家都非常的害怕,毕竟这种精品才出现,以后肯定就会让自己的皮肤非常的瘙痒,除此之外,这种基本也很难治疗,就算是不断的吃药,也有可能不能正常的缓解,甚至也需要治疗好几个月。也是这种疾病的诱发因素,有很多,比如说环境的因素,除此之外还有药物因素,饮食因素等等,接下来我们就一起详细了解一下不同类型湿疹有哪些表现,湿疹该如何预防呢?

不同类型湿疹有哪些表现?湿疹该如何预防呢?

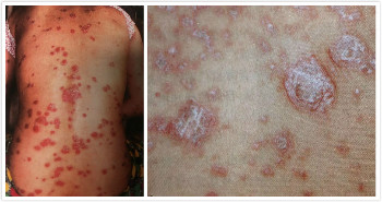
1、儿童湿疹

是一种儿童过敏性皮肤病。儿童皮肤发育尚不健全,较外层表皮的角质层很薄,毛细血管网丰富,内皮含水及氯化物比较丰富,故容易发生过敏湿疹反应。

2、湿疹

多见于哺乳妇女,乳晕湿润、糜烂、结痂,时间稍久可增厚,发生皲裂,喂奶时疼痛。长期不愈。皮下有硬结者,应考虑并发湿疹样癌的可能。

3、渗出型湿疹

常见于肥胖型婴儿,初起于两颊,发生红斑、丘疹、丘疱疹,常因剧痒搔抓而显露有多量渗液的鲜红糜烂面。严重者可累及整个面部甚至全身。

4、手部湿疹

发生于手掌部易浸润增厚,过度角化形成皲裂。手指端湿疹常反复发生水疱、结痂、增厚、脱屑,累及甲床部可影响指甲发育,致使甲板粗糙,凹陷不平。接触水、肥皂、洗衣粉等常使湿疹加重。

5、腿部脚部湿疹

好发胫前及踝部。

不同类型湿疹有哪些表现?湿疹该如何预防呢?

湿疹该如何预防?

首先,患者要控制住自己的手,皮疹瘙痒时可以局部搽药,或用药液湿敷止痒,避免能搔抓。搔抓对皮肤是恶性兴奋,皮疹必然会加重,甚至出现糜烂、流水、继发感染。

其次,在饮食方面,患者应该戒烟酒、不要吃辛辣兴奋食物及鱼、虾、蟹、羊肉、鲜蘑菇、韭菜等。病情好转后可以试着少量吃一些,但要注意肉类、鱼类、蛋类做熟再吃,半生不熟的吃了更容易过敏。

第三,居住环境以简洁、自然为原则。装修房间的气味、新家具的气味、花香、杀虫剂、香水、空气清新剂等散发在空气中,过敏体质者吸入后可能加重病情,都应该避免。

通过以上这些内容介绍,我们可以了解到湿疹该如何来预防,以及不同的湿疹有哪些表现,大家在看了这些以后应该对此有所了解了吧,其实出现这种疾病以后,能够及时的预防才是非常关键的,因为皮肤会非常的瘙痒,所以大家一定要及时的使用一些药膏来治疗,千万不能用手去挠抓,除此之外在饮食这方面也要加以注意,成年的患者应该戒烟戒酒,千万不要吃一些辛辣兴奋的食物或者是羊肉,以及海鲜类。此外还要注意居住环境,主要以自然清新为合适不能经常处于过于潮湿过于闷热的环境当中,因为这也会导致是这个疾病加重。希望大家可以通过以上这些内容介绍,有所了解。